Title Page
Copyright Page
Foreword
Preface
Acknowledgements
Chapter 1 Smile Dimensions
Aim
Outcome
Introduction
Tooth Size
The Golden Proportion
Gingival Position
Black Triangles
Lip Line
Masking Gingival Tissues
Moral Issues
Further Reading
Chapter 2 Shade and Colour
Aim
Outcome
Introduction
Shade-Matching
Tips for Choosing the Right Shade
Pixels v. Rods and Cones
Further Reading
Chapter 3 Bleaching and Microabrasion
Aim
Outcome
Introduction
Common Causes of Tooth Discoloration
Localised
Trauma:
Superficial staining:
Generalised
Acquired:
Hereditary:
Trauma
Superficial staining
Age-related changes
Tetracycline
Fluorosis
Hereditary causes
Vital Bleaching
Hydrogen Peroxide (H2O2)
Mode of action
Carbamide Peroxide
Safety
Effects on Teeth and Restorative Materials
Stability of Bleaching
Preservation of Tooth Tissue
Side-effects
Indications
Contraindications
Advantages
Disadvantages
Clinical Technique
Review Appointments
Non-Vital Bleaching
Case Selection
Sodium Perborate
Side-effects
Technique
Advantages
Side-effects
Combination Techniques
In-Surgery Techniques
Case Selection
Clinical Stages
Other Bleaching Techniques
Whitening Strips™
Topically Applied Systems
Whitening Toothpastes
Microabrasion
Clinical Stages
Further Reading
Chapter 4 Laminate Resin Composite Techniques
Aim
Outcome
Introduction
Advantages of Directly Placed Resin Composites
Disadvantages of Directly Placed Resin Composites
Clinical Techniques
Small and Moderately Sized Restorations
Clinical Stages
Changes to Shape and Size of Teeth
Polishing
Clinical Stages
Further Reading
Chapter 5 Porcelain Laminate Techniques
Aim
Outcome
Introduction
Historical Perspective
Indications
Contraindications
Advantages
Disadvantages
To Prepare or Not to Prepare?
Tooth Preparation
Bur Selection
Other Clinical Procedures
Luting Procedures
Finishing Procedures
Maintenance Procedures
Further Reading
Chapter 6 Technical and Laboratory Considerations
Aim
Outcome
Introduction
Technical Considerations for Full Coverage Restorations
Metal Ceramic Crowns
All-Ceramic Crowns
Tooth Preparation
Stages of Tooth Preparation
All-Ceramic Crowns
CAD/CAM-Produced Coping with Conventional Build-up
CAD/CAM without Coping
Pressed Ceramics
Conventional Build-up with Alumina Coping
Metal Ceramic Crowns
Provisional Crowns
Soft-Tissue Management
Impression Materials
Clinical Stages for the Resin Replica Technique
Conformative Approach
Reorganised Approach
Further Reading
Chapter 7 Aesthetic Compromises and Dilemmas
Aim
Outcome
Introduction
Informed Consent
The Single Tooth
Doing Nothing
Bleaching
Microabrasion With and Without Bleaching
Crowning or Veneering the Tooth
Porcelain Laminate Veneers
General Failure During Clinical Service
Complete Loss
Marginal Inflammation
Bulky Laminates
Peeling of Laminate
White Flecks Under Laminate Surface
Marginal Staining
Incisal Angle or Edge Fracture
Resin-Composite Laminate Techniques
Staining of Entire Laminate
Wear of the Labial Surface
Fracture of Crowns and Bridgework
Intraoral Repair of Fractured Crowns and Bridgework
Repair Materials
Further Reading
Appendix

Quintessentials of Dental Practice – 19
Operative Dentistry – 2
British Library Cataloguing-in Publication Data
Bartlett, David
Aesthetic dentistry - (Quintessential of dental practice; 19. Operative dentistry; 2)
1. Dentistry - Aesthetic aspects
I. Title II. Brunton, Paul A. III. Wilson, Nairn H. F.
617.6
ISBN 1850973040
Copyright © 2005 Quintessence Publishing Co. Ltd., London
All rights reserved. This book or any part thereof may not be reproduced, stored in a retrieval system, or transmitted in any form or by any means, electronic, mechanical, photocopying, or otherwise, without the written permission of the publisher.
ISBN 1-85097-304-0
Aesthetic dentistry continues to grow exponentially in modern clinical practice. Patients now expect and greatly value dental attractiveness as one of the principal outcomes of routine dental care. Realising this goal can, however, be challenging. Enhancing a pleasing smile, let alone the successful management of unsightly teeth, by means that will withstand the rigours of the oral environment, demands skilful application of the art and science of both traditional and state-of-the-art dentistry, underpinned by knowledge and understanding of the many varied factors that influence the appearance of teeth individually and collectively. This is the complex subject area addressed in this excellent addition to the Quintessentials of Dental Practice series.
In common with all the other books in the series, Aesthetic Dentistry focuses on the essence of the subject matter, with high-quality illustrations distributed liberally throughout the text to highlight principles, key points, critical techniques and common pitfalls. Given the importance aesthetic dentistry has now assumed in present-day clinical practice, which is no longer limited to the three “Rs” – “repair, removal and replacement” – the information and guidance included in this book should be viewed as fundamental to the everyday business of dentistry.
As with most things in the clinical practice of dentistry, good clinical outcomes are down to trust and understanding between dentist and patient, effective communication, up-to-date knowledge, careful planning and meticulous detail in the execution of operative procedures. Good aesthetic dentistry is not easy; it is typically very demanding. This book provides a most valuable aid to meeting these demands – an excellent investment for practitioners and students with patients who would welcome an improvement in their dental appearance.
Nairn Wilson
Editor-in-Chief
This book is not meant to be a definitive textbook on aesthetic dentistry. There are already several comprehensive texts available on the subject. This book, by way of contrast, is designed to be an aide-mémoire for success, providing tips and hints for practitioners to improve their practice of everyday aesthetic techniques, coupled with a description of the underlying theory. The text will not consider single-unit indirect restorations other than certain aspects from an aesthetic point of view. Readers are referred to a specific text that considers indirect restorations in some detail. In addition, an appendix is included, which lists materials and instruments the authors have found useful.
On reading this book the reader will be able to:
appreciate the composition and variations in the smile
understand the theory of colour and how this affects shade-taking and colour communication
select suitable cases for vital and non-vital bleaching
consider the use of microabrasion to remove unsightly or unaesthetic surface defects
apply resin composites for successful anterior laminate restorations
prescribe successfully porcelain laminate veneers
understand how technical, laboratory and periodontal factors can affect aesthetics
minimise aesthetic compromises
solve common aesthetic dilemmas.
David Bartlett
Paul A Brunton
London and Manchester, March 2005
The authors would like to thank Dr David Ricketts for reviewing and providing valuable feedback for the entire manuscript and Miss Selina Priestley for reviewing Chapter 2.
The authors are also indebted to the following individuals who have generously provided illustrations, which made the publication of this book possible: Miss Leean Morrow for the use of Figs 1-6 to 1-7 and 7-6; David Leedham for the use of Figs 2-7 to 2-9; and Tim Horwood for the use of Figs 4-5, 4-6, 5-5 and 6-5. Figs 6-4, 6-6 and 7-3 are reproduced from Dental Update by permission of George Warman Publications (UK) Ltd. Fig 6-1 is reproduced by permission of the British Dental Journal.
To practise successful aesthetic dentistry it is important to be familiar with the essential components of an “ideal” smile – remembering of course that the “ideal” smile is a concept around which all patient treatment is based and that every patient requires an individual approach. The aim of this chapter is to acquaint practitioners with the dimensions and components of an “ideal” smile.
On reading this chapter practitioners will be able to assess the shape and inter-relationship of crowns and restorations within the framework of a patient’s individual smile.
Aesthetics can be viewed at two levels – the conversational and tooth levels. The conversational level considers the arrangement of teeth within the framework of a face and an individual’s smile. The tooth level is the consideration of everything that makes a tooth look like a tooth. It is important that teeth should look like teeth, but equally it is important that teeth are appropriately framed. To do this effectively a practitioner must be familiar with the dimensions of a smile, to include consideration of the following:
tooth size
the golden proportion
gingival position
black triangles
lip line
masking gingival tissues
moral issues.
On average, the width of an upper incisor tooth is 75% of its length and where this is not the case the result is generally unaesthetic (Fig 1-1). The perception of tooth shape, however, is very personal. For instance, someone with narrow teeth and diastemas might be quite content with their appearance. But if the patient found the appearance unacceptable and new crowns were planned for the upper incisors, it may be worthwhile to consider using this rule (width based on 75% of length) to calculate tooth width. Before any changes to width and length are embarked upon, it is essential that a diagnostic wax-up is used to assess the proposed changes to a patient’s appearance. If necessary, directly placed resin composites can be used either for the short or medium term to assess the final appearance of the teeth before proceeding to the definitive treatment (Fig 1-2). The aesthetics of present-day resin composite often make the definitive stage of treatment unnecessary.

Fig 1-1 (a) Unaesthetic crowns where the width and length of the crowns are equal. (b) Replacement crown of appropriate dimensions.

Fig 1-2 (a) Etch placed to reduce a diastema with resin composite in a young patient. (b) Post-treatment reduced diastema.
The width-to-length ratio influences the judgement to close diastemas. If the ratio of the tooth is above 75% then widening the tooth further to reduce the space may produce an appearance that is unacceptable. The compromise and closure might be acceptable for a narrow tooth that could easily be widened, but for a broader tooth other factors may need to be considered. In such cases the location of the gingival tissues down the length of the crown is another assessment that is important.
Traditionally, some clinicians have linked tooth shape with gender. Narrower teeth may be found in females, broader ones in males. This demarcation is by no means accurate, and when bridgework or indirect restorations are planned clinicians normally have the advantage of other standing teeth to guide decisions on the shape and contour of the restoration. There are various technical tricks that can be adopted to hide or attenuate the angles of laboratory-made crowns. Mid-line horizontal lines appear to shorten the crown, while vertical ones nearer the proximal angles would broaden it (Fig 1-3). Additionally, if the space is too wide an illusion can be created by introducing sharp angles away from the proximal surface to make the crown appear narrower (Fig 1-4).

Fig 1-3 Horizontal lines make the identical crown appear shorter than the crown with the vertical lines.

Fig 1-4 A rounded or smooth contact region can make the crown appear broader, but for one that is too broad making a more pronounced angle just away from the contact point creates the illusion of a narrower crown.
The most important criterion in making a judgement on aesthetics is the patient. The perceptions of colour and shape are somewhat age-related. Senior patients commonly perceive bigger and brighter teeth as indicative of youth. Unfortunately, there is an increasing trend to achieve brighter and whiter teeth producing shades that are lighter than B1. The result for many practitioners is too artificial, but increasingly patients expect and demand shades at this end of the spectrum. If such a shade is contemplated, considerable discussion should occur preoperatively and the patient should be given a clear idea what the shade is likely to look like within the parameters of their individual smile.
Normally lateral incisors are smaller than centrals, and if their comparative size starts to become equal the result can be aesthetically unacceptable. The golden proportion adopts this concept with a balance between the canines, laterals and central incisors. The golden proportion was formulated as one of Euclid’s elements c. 300 BC and it applies to dental aesthetics. This is amply illustrated by the fact that the central incisors are in golden proportion to the lateral incisors, which in turn are in golden proportion to the canines (Fig 1-5). Put simply, the central incisor is 1.618 wider than the lateral incisor. It is possible using grids that are based on the width of the central incisor to determine the width of a patient’s smile. It is important to recognise that the proportion of the smaller to the greater – for example, the width of the central incisor in relation to the width of the lateral incisor – is golden but so also is the width of the central incisor in relation to the combined widths of the two teeth. It is accepted that when teeth are set up so that the proportion is golden within the confines of the smile it is aesthetically pleasing.

Fig 1-5 Teeth in golden proportion.
The width of a patient’s smile is in golden proportion to the rest of the face. Upon smiling the anterior aesthetic segment is framed by the lips and there is space between the teeth and the corners of the mouth. This neutral space is all too often filled with over-contoured teeth or dental arches that have been made too wide. If this neutral space is lost the smile is not aesthetically pleasing. The width of the anterior aesthetic segment is in golden proportion to the width of the smile, ideally with the midline coincidental with the midline of the face.
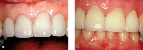
The gingival position on the upper lateral incisors in a healthy state is closer to the occlusal plane than on the central incisors and canines. Either naturally, or as a result of tooth wear and dentoalveolar compensation, this position may alter and result in the lateral incisors having a similar height to the incisors. The unworn step effect produces a natural and pleasing appearance and can accentuate the dominance of the upper central incisors, providing an acceptable aesthetic result (Fig 1-6). Whether it is acceptable to undertake crown lengthening surgery to produce this step height appearance is doubtful but if, for instance, surgery was planned as part of the treatment for tooth wear, placing this step in the gingival position is worth considering.

Fig 1-6 (a) Unaesthetic crowns with unequal gingival heights and teeth in incorrect proportion to each other. (b) New crowns provided for the patient after crown lengthening surgery.
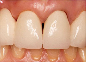
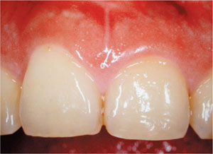
The location of the gingival margin needs to be symmetrical. Unilateral gingival recession may not create a clinical problem if the patient has a low lip line. But in someone with a high lip line, unequal gingival contours may compromise the appearance of the anterior teeth (Fig 1-7). Surgical procedures aimed at adjusting the gingival position are, however, outside the remit of this book and readers are referred to a specialist textbook in periodontics. This problem, however, should be considered at the treatment-planning stage and help sought from a periodontist, if appropriate.

Fig 1-7 Unequal gingival contours.