Titelblatt
Copyright-Seite
Foreword
Acknowledgements
Chapter 1 Erosion – Is it a Problem?
Aim
Outcome
Introduction and Historical Background
Prevalence
Further Reading
Chapter 2 Risk Factors Associated with Dental Erosion
Aim
Outcome
The Risk Factors
The Intrinsic Factors
Eating disorders
What are the risk factors for anorexia/bulimia?
The protective role of saliva
The Extrinsic Factors
Dietary factors
Medication
Environmental
Behavioural
Further Reading
Chapter 3 Formulating a Management Strategy
Aim
Outcome
Making the Diagnosis
History Taking
Acquisition of the Medical History
Extraoral and Intraoral Examination
Determining the Patient’s Expectations
Special Investigations
Further Reading
Chapter 4 Preventive Measures
Aim
Outcome
Prevention and Treatment
Prevention
Education
Early recognition
Risk assessment
Control of further tooth substance loss
Treatment
Further Reading
Chapter 5 The Future
Aim
Outcome
The Future
Early Diagnosis and Monitoring
Identification of Risk Factors
New Preventive Regimes
Postscript
Further Reading

Quintessentials of Dental Practice – 34
Clinical Practice – 4
British Library Cataloguing-in Publication Data
Chadwick, R. Graham
Dental erosion. - (Quintessentials of dental practice; 34. Clinical practice; 4)
1. Teeth - Erosion
I. Title
617.6′3
ISBN 1850973059
Copyright © 2006 Quintessence Publishing Co. Ltd., London
All rights reserved. This book or any part thereof may not be reproduced, stored in a retrieval system, or transmitted in any form or by any means, electronic, mechanical, photocopying, or otherwise, without the written permission of the publisher.
ISBN 1-85097-305-9
Dental erosion is increasingly common. The effect of erosion, in particular if generalised, can be profound, with lifelong consequences for the prognosis of the dentition. Given new understanding and knowledge of the aetiology of dental erosion and its management, Dental Erosion is a timely and valuable addition to the popular Quintessentials of Dental Practice series.
In common with the other carefully targeted books in the series, a modern, evidence-based, preventative approach, underpinned by systematic history taking and diagnosis, is strongly advocated. Mindful of the busy practitioner’s time and opportunity to read and digest dental publications, Dental Erosion presents the essence of the subject in a concise, well-illustrated, easy-to-read style, highlighting key issues of immediate practical relevance.
With many more patients, notably adolescents and young adults presenting with dental erosion, Dental Erosion will be of assistance to practitioners of all ages and levels of experience, seeking to provide their patients with state-of-the-art care. If you are uncertain about aspects of dental erosion observed in your patients, this book will be an excellent addition to your reference texts – another jewel in the Quintessentials series crown.
Nairn Wilson
Editor-in-Chief
The author would like to acknowledge with sincere thanks the following people and organisations: Mrs Rene Burnett (Dundee Dental School and Hospital) for her photographic skills; Mrs Frances Anderson (Dundee Dental School) for typing the early drafts of the manuscript; Mr Steve Bonsor for proof-reading; Miss Lynne Allan for ensuring the smooth running of my consultant clinics; the dental technicians of Dundee Dental Hospital Conservation Laboratory (Mr Dave McMahon, Mr John McLeish, Mr Donald Aitkenhead, Mr Brian Devine, Mr Kevin Linklater, Mrs Joyce Thomson); Mr Bill Sharp (senior dental instructor, Dundee Dental School), Dr John Radford (Dundee Dental School) for Fig 4-17; Dr Alex Milosevic (Liverpool Dental Hospital) and the editor of the British Dental Journal for Fig 2-2; Professor Jeremy Rees (Cardiff Dental School) for the data in Table 2-2 together with the editor of the European Journal of Prosthodontics and Restorative Dentistry; Dr Andrew Mason (Dundee Dental School) for Fig 4-9; Professor Andrew Grieve for Figs 1-2, 1-3 and 3-1; Dr Julie Kilgariff for her data on attitudes and beliefs surrounding dental erosion; Professor Sue Higham and Gleb Komarov (Liverpool Dental School) for Fig 5-2; the editors of The European Journal of Dental Science (for Tables 2-1, 3-1, 3-2), The Journal of the American Medical Association (for Table 3-5), The British Medical Journal (for Table 3-4) and the press office of www.weightlossresources.co.uk for the basis of Figs 3-6 and 3-7; the editor of Quintessence International for permission to reproduce Fig 5-3. Also Dr Harvey Mitchell (University of Newcastle, Australia) for his longstanding research collaboration, Tenovus Tayside for funding the research whose data is in Table 3-3, Dr Nick Halpin (Counselling Service, University of Dundee) for his insight into student culture, Mr James Beaton (librarian of the Royal College of Physicians and Surgeons of Glasgow) for facilitating access to texts covering the historical aspects of erosion and both Professor Nairn Wilson (commissioning editor) and the Quintessentials production team for their assistance. Last, but not least, Sandra, Matthew, Benjamin and Nathan for their patience and support.
‘Our information regarding erosion is far from complete, and it now seems probable that much time may elapse before its investigation will have satisfactory results. Its increasing frequency and the great damage it is doing calls for the closest study that the profession can give.’
G. V. Black (1908)
‘There are no new truths, but only truths that have not been recognised by those who have perceived them without noticing.’
Mary MacArthur from On The Contrary (1961)
To appreciate other forms of tooth surface loss, the nature and prevalence of dental erosion.
After reading this chapter the reader should have an understanding of:
other forms of tooth surface loss
the historical background surrounding dental erosion
the prevalence of dental erosion
the limitations of the present evidence base.
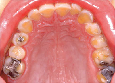
In its true sense dental erosion may be defined as the loss of enamel and dentine from chemical attack other than those chemicals produced intraorally by bacteria. This distinguishes it from dental caries, in which the damaging acid is produced from the fermentation of carbohydrates and the microorganisms of dental plaque. Although many would attribute the classical appearance of palatal tooth surface loss (Fig 1-1) to this process, it should never be forgotten that such surfaces may also wear due to both abrasion and attrition working in combination with the erosive process. Abrasion is physical wear brought about by contact with objects other than a tooth (Fig 1-2). Attrition is the physical wear of one tooth surface against another, with tooth tissue loss occurring on the contacting surfaces (Fig 1-3). In any patient all three mechanisms may be at work to a lesser or greater extent. As a result the dentist should always conduct a detailed examination to determine the major cause of the tooth surface loss that presents.

Fig 1-1 Dental erosion affecting the palatal aspects of the maxillary teeth – note also the submargination of the amalgam restorations in UR4, UR6 and UL6.

Fig 1-2 Abrasion of the upper and lower incisors produced from contact with a pipe stem over many years.

Fig 1-3 Attrition of the dentition of a female patient aged 25 years.
It is tempting and convenient to believe that dental erosion is a relatively new phenomenon that is the product of modern times. This is untrue – the condition, as defined today, was familiar to dentists at the turn of the 19th century. These included G. V. Black (Fig 1-4). He reported upon the condition in his 1908 work on operative dentistry. This makes remarkable reading, because he states that ’erosion is rarer than dental caries but more frequent in the more affluent classes’. He also suggested that once practitioners were familiar with dental erosion they would see more cases. Rather far-sightedly he postulated that the individual susceptibility to the condition he witnessed may have a hereditary basis. He commented that although erosion tended to progress slowly this could cease spontaneously or continue intermittently. These observations were pertinent, holding true today. They pose a number of dilemmas for today’s practitioner. Should all patients be given the same preventive advice? When should erosion be operatively treated or the impact of preventive measures observed?

Fig 1-4 G.V. Black.
Typically dental erosion manifests itself in late adolescence or early adulthood. This is at a time when patients tend to be acutely concerned about their life style and appearance. They also have many years of life ahead of them. As a result the management of such patients presents a considerable challenge to the dentist. When today’s restoration is placed it will ultimately fail at some stage in the future. Will the mode of failure facilitate or hinder recovery? Clinical management options selected now must keep future treatment options open. This book seeks to provide a framework of knowledge to enable the dental team to manage this group of patients. It should be regarded as a pick ‘n’ mix tool box to address such dilemmas for the benefit of individual patients. It is not a prescriptive recipe book of solutions.