Title Page
Copyright Page
Foreword
Preface
Acknowledgements
Chapter 1 Paediatric Cariology: Management and Myth
Aim
Outcome
Introduction
So Why Should We Restore the Primary Dentition?
The Chronology of the Development of the Dentition
Childhood Fever and Caries Susceptibility
Myths
Calcium Deficiency
Breastfeeding and Teeth?
Do “Soft” Teeth Run in the Family?
Inherited defects
“Family” caries
Medicine
Practical Tips
Chapter 2 Diagnosis of Dental Caries
Aim
Outcome
Introduction
The First Visit
Examination
Extra-oral Examination
Intra-oral Examination
Caries Risk Assessment
Previous Disease
Dietary Factors
Social Factors
Fluoride Use and Plaque Control
Medical History
Saliva
Bacteria
Fissure Shape
The Dentist’s Hunch
Risk Categories
The Carious Process
Enamel Caries
White spot detection
Microscopy of a white spot
Progression of Enamel Caries
Enamel Caries in the Fissures
Caries of the Dentine-Pulp Complex
The histological zones found in dentine caries
Caries progression through dentine
Cariology in Primary Teeth
Primary teeth
Caries Diagnosis
The Caries Diagnostic Examination
Clinical Visual
Systematic
Clean
Illumination
Dry
Put the sharp probe away!
Radiographs
Bitewings
Orthopantomogram (OPT)
Bimolar view
Periapicals
Processing and viewing radiographs
How frequently should a radiographic examination be performed?
Adjuncts and Novel Aids to Caries Diagnosis
Magnification
Fibre Optic Transillumination (FOTI)
Temporary Tooth Separation (TTS)
Laser Fluorescence
Electric Caries Meter (ECM)
Recording Caries
Summary
Practical Tips
Further Reading and References
Chapter 3 Treatment Planning and Managing Toothache
Aim
Outcome
Introduction
Pragmatic treatment planning
Problem List
The Stages of a Treatment Plan
Analgesia, Sedation and General Anaesthesia
The Child with Toothache
Reversible or Irreversible Pulpitis?
Caries Risk
High caries risk
Low caries risk
Assessing Compliance
Restore or Extract?
Reversible Pulpitis
Irreversible Pulpitis or the Non-Vital Tooth
Restore: Temporise
Balancing and Compensation?
First Permanent Molars
Analgesia and Antibiotics
The Benefit of Drainage
Managing the Child with Active Caries
Stabilisation
The Sequence of Operative Care
Practical Tips
Further Reading
Chapter 4 The Caries Prevention Tool Kit and How to Use it
Aim
Outcome
Introduction
The Caries Prevention Tool Kit
Diet Modification
Avoid making parents feel guilty
Personalised advice using a diet diary
Non-milk extrinsic sugars
Foods that cause caries:
Popular misconceptions (foods that DO cause caries):
Alternative snacks:
Fluoride
How does Fluoride Prevent Caries?
Prescribing Fluoride
Fluoride Toothpaste
Fluoride Dose and Caries Reduction
Swallowing and Eating Toothpaste
Caries Risk Assessment and Fluoride Dose
Fluoride Varnish
Fluoride Tablets
Fluoride Mouthwash
Mottling
Management of enamel mottling
The Fluoride Future
The Diagnosis and Management of Acute Fluoride Overdose
Fissure Sealants
Monitoring Following Placement
Which Fissure Sealant do I Use?
Unfilled (clear) fissure sealants
Filled fissure sealants
To Light-cure or Not?
Sealing Over Caries
Enamel Biopsy
Xylitol Chewing Gum
Chlorhexidine Varnish
Community-Based Programmes
The New Dental Team
Multi-Disciplinary Teams
Personalising Preventive Care
Practical Tips
Further Reading
Chapter 5 Intracoronal Restorations for Posterior Primary Teeth
Aims
Outcome
Introduction
Anatomy
Indications for Restoration
Sequential Planning
Cavity Preparation
Moisture Control
Choice of Material and Durability of Restorations
Tooth factors
Patient factors
Caries in Primary Posterior Teeth
Useful Instruments for Caries Removal
Pit and Fissure Caries
Access
Outline
Caries removal
Restoration
Approximal Posterior Lesion without Pit and Fissure Caries (Retentive Box)
Access
Caries removal
Buccal and lingual walls
Floor
Axial wall
Restoration
Approximal Posterior Caries with Pit and Fissure Caries (Class II)
Access
Box preparation
Isthmus
Pit and fissure caries
Restoration
Practical Tips
The Atraumatic Restorative Treatment (ART)
ART Technique
Instruments
Access
Caries removal
Restoration
Practical Tips
Minimum Tooth Destruction
The Chemo-Mechanical Removal of Caries
Chemo-Mechanical Caries Removal Technique
Instruments
Access
Caries removal
Restoration
Practical Tips For Chemo-Mechanical Caries Removal
Lasers
Air Abrasion
Ozone
Further Reading
Chapter 6 Preformed Crowns Are Easy
Aim
Outcome
Introduction
How are Preformed Metal Crowns Retained?
Indications for Preformed Crowns for Primary Molars
Instruments
Selection of the Crown
Step-by-Step Preparation and Fitting
Step One: Occlusal Reduction
Step Two: Approximal Reduction
Step Three: Peripheral Reduction
Step Four: Try in the Crown
Step Five: The Gingival Contour
Step Six: Cementation
Problem-Solving
Rocking
Canting to One Side
Loss of Space due to Extensive Caries
Loss of Space in the Lower Arch
Loss of Space in the Upper Arch
The Placement of Preformed Crowns with Minimal Preparation
Work Steps for Placing Preformed Crown without Prior Preparation of the Tooth
Advantages of the Minimal Preparation Technique
A Practical Tip to Avoid Aspiration
Practical Tips
Chapter 7 Pulp Therapy in the Primary Dentition
Aim
Outcome
Introduction
Infected and Inflamed Dental Pulp
When is Pulp Therapy Required?
Assessing Inflammation in a Vital Pulp
Signs
Symptoms
Indications and Contraindications for Primary Molar Pulp Therapy
The Root Anatomy of Primary Molar Teeth
To Begin …
Pulp Therapy Techniques
Pulp Capping
Indirect pulp capping in primary molars
Indirect pulp therapy technique
Direct pulp capping in primary molars
Direct pulp capping technique
Primary Molar Pulpotomy
The Ferric Sulphate Vital Pulpotomy
Single-visit vital ferric sulphate pulpotomy technique (Fig 7-10)
The Calcium Hydroxide Pulpotomy
Indications
Technique
Success
Dentine Bridge Formation
Caution
Desensitising Pulpotomy
Indications
Two-stage desensitising pulpotomy technique
Success rate
Pulpectomy
Success rate
Indications
Pulpectomy technique
One-visit pulpectomy: irreversible radicular pulpitis (canal debridement only)
Two-visit pulpectomy: non-vital teeth
Clinical and Radiographic Review
Clinical Review
Radiographic Review
The Formocresol Controversy has Ended
Local Effects
General Effects
Alternatives to Formocresol
Internal Resorption – Is There An Increased Risk Following Pulp Therapy?
Instruments And Medicaments
Medicaments
Ferric sulphate 15% solution
Ledermix™ paste
Practical Tips
References
Chapter 8 Avoiding Extraction of Carious Anterior Primary Teeth
Aim
Outcome
Introduction
Carious Lesions In Primary Anterior Teeth
The Proximal Lesion
Discing
Useful instruments (Fig 8-4)
Access
Caries removal
Fluoride application
Practical Tips: Discing
Cavity Preparation (Class III)
Useful instruments
Access
Caries removal
Restoration
The Buccal or Labial Lesion (Class V)
Useful instruments
Technique
Access
Caries removal
Restoration
Practical Tips
The Circumferential Lesion
Discing Plus Restoration
Composite Crowns
Technique
How to choose the correct crown former
Customising the celluloid crown former
Coronal restoration
Practical Tips
References
Chapter 9 How to Cheat at Dental Dam
Aim
Outcome
Introduction
Advantages of Dental Dam
Dental Dam Myths
The Bare Essentials
Isolating Anterior Teeth
The Split Dam Technique: Anterior Teeth
The Split Dam Technique: Posterior Teeth
Handy Hints And Shortcuts
Introducing Dental Dam To The Child
Practical Tips

Quintessentials of Dental Practice – 14
Paediatric Dentistry/Orthodontics – 2
British Library Cataloguing-in Publication Data
Deery, C.
Paediatric cariology - (Quintessentials of dental practice; 14. Paediatric dentistry/orthodontics; 2)
1. Dental caries in children - Treatment
I. Title II. Hosey, Marie-Therese Wilson, III. Waterhouse, P.J.
617.6 ′7 ′0083
ISBN 1850973121
Copyright © 2004 Quintessence Publishing Co. Ltd., London
All rights reserved. This book or any part thereof may not be reproduced, stored in a retrieval system, or transmitted in any form or by any means, electronic, mechanical, photocopying, or otherwise, without the written permission of the publisher.
ISBN 1-85097-312-1
It is very sad that so many children continue to suffer the ravages of dental caries and are faced with the prospect of dental interventions, possibly including one or more general anaesthetics, at a young age. Indeed, it is very sad that many more children are not caries-free, given that caries is a preventable disease.
Paediatric Cariology is an excellent addition to the rapidly expanding Quintessentials of Dental Practice series. Understanding, preventing and, in particular, managing caries in children may not be viewed by some as one of the more glamorous aspect of the clinical practice of dentistry but, if done well, is widely accepted to be one of the most rewarding. More often than not, the challenge is to deal with at least three things at one and the same time – the child as the patient, the caries and the parent who may be anxious, guilt-ridden or, in the more difficult cases, indifferent. Not an easy task, but one that can be simplified if familiar with the latest thinking and clinical guidance as contained in this most helpful, easy-to-read, well illustrated book.
As has come to be expected of books in the Quintessentials of Dental Practice series, the focus, as in the present book, is on up-to-date knowledge and understanding of immediate practical relevance. This book fulfils this expectation and, as such, may be used to great benefit in the care of children. Paediatric dentistry has changed a great deal in recent years and is set to change further with the increasing use of alternative materials and techniques and attainable improvements in the oral health of children. Paediatric cariology is an aspect of clinical practice that practitioners need to keep informed on. This book provides the ideal means to meet this need.
Nairn Wilson
Editor-in Chief
Managing caries in children is a challenge to every dentist. The aim of management for every dental team is to provide care, which helps a child to become dentally aware, avoid iatrogenic damage and to grow to be a fit young adult with healthy teeth. This is principally achieved by empowering the child and their carer with preventive advice so that they value dental health and know how to maintain it.
The prevention of dental caries is always the first priority in paediatric dental care and this involves the whole dental team, often supported by community health improvement initiatives, especially water fluoridation.
Unfortunately, when caries occurs in the primary dentition the morphology of the primary molars, in particular, leads to early pulpal involvement. Therefore, early diagnosis, although often difficult, is important to simplify treatment. Luckily, pulp therapies and preformed crowns are relatively easy to perform and the addition of these techniques to the dental therapist armamentarium is a great asset to the dental team in the UK.
We hope that this book will, firstly, inspire better routine preventative care and, secondly, provide dental operators (dentists and therapists alike) with the modern diagnostic tools and restorative techniques to manage caries in children in primary care dentistry in the UK.
We express our gratitude to Dr Howard Moody, Dr Chris Longbottom and Mr Toby Gilgrass for supplying some of the photographic images. Thanks to Hazel, Ed and Richard – our long-suffering spouses – for all your support during the preparation of this book.
This chapter aims to emphasise the importance of the management of caries in children in respect of their continued dental, emotional and educational development. In addition, various myths surrounding paediatric cariology will be discussed.
Upon reading this chapter, the practitioner should have gained an understanding of the importance of ensuring that children remain free of both acute and chronic dental pain and appreciate the contribution of the primary dentition, in particular, to overall health and development. The dental team should also be familiar with the chronology of the development of the dentition and appreciate how knowledge of this assists in determining the effect of common childhood illnesses upon the dental hard tissues.
Dental caries is one of the most prevalent of human diseases. This disease involves the mineralised tissues of the teeth, namely enamel, dentine and cementum, caused by the action of microorganisms on fermentable carbohydrates. It is characterised by demineralisation of the mineral portion of these tissues followed by the disintegration of their organic material. The disease can result in bacterial invasion and death of the pulp and the spread of infection into the periapical tissues, causing pain. In its early stages, however, the disease can be arrested since it is possible for remineralisation to occur. Over recent years there has been a decline in the prevalence of caries in the Western World. Possible reasons for this include the widespread use of fluoride (especially in toothpaste), changes in the diet, the increased use of antibiotics, and possible changes in the virulence of microorganisms.
The decline in caries prevalence has been greatest on the smooth surfaces of teeth. The pit and fissured surfaces of the molar teeth now have the greatest disease susceptibility, although buccal and palatal pits and fissures remain caries prone. The decline in caries, however, has not been uniform but skewed. The Scottish Health Boards’ Dental Epidemiological Programme survey carried out in 1992/93 showed caries in 7% of 12-year-old children.
Unfortunately, many dental practitioners do not see the value in restoring the primary dentition. This reinforces the view of many parents that primary teeth are expendable. We hope that this book will encourage dentists, dental therapists and hygienists to develop their skills to meet the challenge of treating the young child and promote a change in attitude in those who do not value the primary dentition (Fig 1-1).

Fig 1-1 A visit to the dentist should be a pleasant experience.
It is becoming increasingly clear that dental health is intertwined with general health and development. Pain and infection have a detrimental effect on health. These are obvious in the child with acute pain, but chronic toothache also causes problems. A child with chronic dental pain cannot thrive and all carious teeth are likely to cause pain and sensitivity from time to time, resulting in:
loss of sleep
mood, behaviour changes and poor concentration
uncomfortable eating, with subsequent loss of appetite and failure to meet developmental milestones: height, weight and head (brain) circumference.
Therefore, the child with dental caries may not thrive physically, emotionally or intellectually, compared to the caries-free child (Figs 1-2 to 1-4). Where children are concerned, their medical, and particularly dental, well-being is of paramount importance. Even relatively simple dental problems can impact upon the medical or educational needs of children, especially on those already diagnosed with medical disorders or learning disabilities.

Fig 1-2 Young child with carious upper incisors and an abscess on tooth 51.

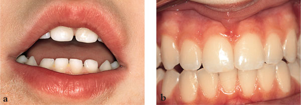
Fig 1-3 Caries-free child with (a) primary teeth and (b) permanent teeth.

Fig 1-4 Child who has had multiple teeth extracted (a) intra-oral view and (b) extra-oral view.
The dental practitioner should aim to motivate the patient and their family by demonstrating that teeth are not disposable and restore primary dentition because it helps:
restore form
restore aesthetics
restore function (mastication and speech)
maintain space for the permanent teeth (Fig 1-5)
acclimatisation
avoid pain and sepsis – avoid damage to the permanent teeth
avoid extraction, particularly under general anaesthesia
avoid sepsis and surgical intervention in the medically compromised child.

Fig 1-5 Primary teeth act as a natural space maintainer for the permanent teeth.
The development of the primary and permanent dentitions is affected by:
genetic factors
nutrition
somatic growth and development.
There is little variation reported between different races in the timing of eruption of the primary dentition. Racial variation, however, can be seen in the eruption of the permanent dentition – for example, Asian children complete their dental development faster that their Caucasian peers. Therefore, care must be applied when dentists seek to compare an individual child to the “normal” eruption times (Table 1-1).
| Primary Teeth | Eruption Time (Months) | |
| Central incisor | 6 | |
| Lateral incisor | 9 | |
| Canine | 18 | |
| First molar | 12 | |
| Second molar | 24 | |
| Calcification commences 4–6 months in-utero | ||
| Root formation complete 12–18 months after eruption | ||
| Secondary Teeth | Eruption Time (Years) | Calcification Starts (Years) |
| Central incisors | 7 | 0.3 |
| Lateral incisors | 8 | 0.3/1* |
| Canine | 9 /12* | 0.3 |
| First premolar | 10 | 2 |
| Second premolar | 11 | 2 |
| First molar | 6 | Birth |
| Second molar | 12 | 3 |
| Third molar | 16–24 | 8–14 |
| *lower/upper | ||
| Root formation complete 2–3 years after eruption | ||
Studies in Peru, on malnourished children, have shown that infants were delayed in the eruption of their primary teeth. This link between nutrition, dental development and general growth can also be seen in premature and low birthweight babies. These babies will “catch-up” on their dental development once their nutrition and medical problem has been rectified and somatic growth will “catch up” with the normal milestones for length, weight and head circumference.
A nutritionist often investigates children who fail to meet their normal developmental milestones. Such children may be placed on dietary supplements: these are generally carbohydrate-rich and so oral hygiene and fluoride therapy are of paramount importance. Other children are referred for dental care to manage dental pain, which may be deterring adequate food intake.
The dental team plays a key role in infant growth and development.
Common childhood illnesses can affect the coincidental dental hard-tissue formation. This can result in hypomineralisation and discolouration. As soon as this is diagnosed, the dental team should be alerted to the fact that the child will have a high caries risk and consequently needs personalised, enhanced preventive management.
Teeth affected by childhood fevers have increased susceptibility to dental caries due to: