
Präzision dentaler Ästhetik
Klinische und zahntechnische Aspekte
Ich widme dieses Buch meiner wunderbaren Tochter Sarah, die mein Leben erfüllt und meinen Eltern, die für alles Positive in mir verantwortlich sind.
Domenico Massironi
Ich widme dieses Buch meiner Familie, der Quelle für Liebe und Glück, die mir in allen Dingen Sicherheit und Energie geben.
Romeo Pascetta
Ich widme dieses Buch meinen teuren, wunderbaren Freunden – meinen Eltern, besonders meinem zu früh verstorbenen Vater Silvio und meiner Mutter Rosalba, die mich in schwierigen Momenten ermutigt hat und meinen Kindern Christian und Gabriele, die Freude in mein Leben bringen. Nicht zuletzt danke ich meinem Bruder Roberto und meiner Schwester Marina, mit denen ich in Liebe verbunden bin.
Giuseppe Romeo
Privatpraxis, Mailand, Italien
Laborinhaber, Chieti, Italien
Laborinhaber, Turin, Italien

Erste Veröffentlichung 2004 in Italien von Quintessenza Edizioni Srl, Milan.
Titel der italienischen Originalausgabe:
Estetica e precisione: Procedure cliniche e di laboratorio
© 2004 Quintessenza Edizioni Srl
Bibliografische Informationen der Deutschen Bibliothek
Die Deutsche Bibliothek verzeichnet diese Publikation in der deutschen
Nationalbibliografie; detaillierte bibliografische Daten sind im Internet über
<http://dnb.ddb.de> abrufbar.
ISBN: 978-3-87652-706-2

©2007 Quintessence Verlags-GmbH, Berlin
Dieses Werk ist urheberrechtlich geschützt. Jede Verwertung außerhalb der engen
Grenzen des Urheberrechts ist ohne Zustimmung des Verlages unzulässig und strafbar.
Dies gilt insbesondere für Vervielfältigungen, übersetzungen, Mikroverfilmungen und
die Einspeicherung und Verarbeitung in elektronischen Systemen.
Übersetzung: Dr. Reinhardt Winkler, München
Lektorat: Kerstin Ploch, Quintessenz Verlags-GmbH, Berlin
Herstellung der deutschen Ausgabe: Ina Steinbrück, Quintessenz Verlags-GmbH, Berlin
Printed in Italy

ÜBER DIE AUTOREN
GELEITWORT
VORWORT
DANKSAGUNG
EINFÜHRUNG

KAPITEL
1
Behandlungsplanung im prothetischen Team
Befunderhebung und klinische Diagnostik
Prothetische Vorbereitungen
Kommunikation mit dem Patienten
Farbbestimmung

KAPITEL
2
Vergrößerungssysteme in der Zahnheilkunde
Verschiedene Arten von Vergrößerungsinstrumenten
Physiologische Effekte und Instrumentenpflege

KAPITEL
3
Prinzipien der Präparation von Vollkronen
Anatomische Grenzen
Wissenschaftliche Prinzipien
Rotierende Instrumente
Systematik der Zahnpräparation
Selektive Konzentration

KAPITEL
4
Design der Präparationsgrenze bei Vollkronen
Charakteristika verschiedener Arten von Präparationsgrenzen
Zusätzliche Richtlinien zur Zahnpräparation

KAPITEL
5
Reposition und Finieren des Randabschlusses mit oszillierenden Instrumenten
Oszillierende Instrumente
Vergleich von Ultraschall- und Schallinstrumenten
Optimaler Einsatz von oszillierenden Instrumenten

KAPITEL
6
Technische Aspekte der Weichgewebe-Retraktion
Lagebestimmung der Präparationsgrenze
Gingivaretraktion
Retraktionstechniken
Zusätzliche Tipps

KAPITEL
7
Klinische Aspekte provisorischer Kronen
Charakteristika und Klassifizierung der temporären Versorgung
Arbeitsschritte der temporären Versorgung
Klinische Überlegungen zu den einzelnen Arbeitsschritten
Gewebekonditionierung mittels temporärer Kronen

KAPITEL
8
Technische Aspekte der provisorischen Kronen
Diagnostische Provisorien

KAPITEL
9
Individuelle Abdrucklöffel und Abdruckmaterialien
Abdrucklöffel
Charakteristika der Abdruckmaterialien für festsitzende Versorgungen
Arten von Abdruckmaterialien
Abdrucktechniken
Fehler und deren Hauptursachen
Abdrucknahme für implantatgetragene Restaurationen

KAPITEL
10
Laborphase
Anfertigung des Meistermodells
Herstellung der Wachsform
Gussvorgang

KAPITEL
11
Einsatz von Keramiken bei Restaurationen
Metallkeramikkronen
Keramische Materialien
Bearbeitung des Metalls im zervikalen Bereich
Keramikschichtung
Hitzepresstechnik für Vollkeramik
CAD/CAM-Technik

KAPITEL
12
Ästhetische Aspekte bei Keramikrestaurationen
Schichtung, Licht und Farbe
Keramische Schichttechniken
Biskuitbrand und Schlusskontrolle

KAPITEL
13
Zementieren
unter Mitarbeit von Federico Ferraris
Eigenschaften der Zemente
Zementarten
Klinische Probleme und Lösungen
Klinisches Vorgehen
Eigenschaften verschiedener Zemente
Zusammenfassung
Präsentation klinischer Fälle

(von links nach rechts) Romeo Pascetta, Domenico Massironi und Giuseppe Romeo.
Domenico Massironi, MD, DMD, schloss das Studium der Medizin und Chirurgie an der Universität Pavia, Italien, ab. Anschließend spezialisierte er sich in Odontostomatologie. Er praktiziert seit 1988 in Melegnano, (Italien) in seiner multidisziplinären Klinik, spezialisiert in Prothetik und Implantologie unter Verwendung des OP-Mikroskopes. Dr. Massironi ist Autor zahlreicher Fachartikel und zusammen mit Romeo Pascetta und Alberto Battistelli Koautor des Atlas La Precisione nella restaurazione protesica (Precision in Prosthetic Restorative Treatment; Quintessenz, 1993). Er hat national und international zahlreiche Kurse und Symposien bei renommierten Veranstaltungen als Referent durchgeführt und ist aktives Mitglied der European Academy of Esthetic Dentistry und Diplomat des International Congress of Oral Implantologists.
Romeo Pascetta, MDT, schloss seine Ausbildung zum Zahntechniker 1977 ab. Er besitzt gegenwärtig ein Labor in Chieti, Italien, spezialisiert auf konventionelle und Implantatprothetik unter Einsatz des Stereomikroskopes. Seit 1998 ist er Diplomat des International Congress of Oral Implantologists. Pascetta hält nationale und internationale Kurse in Präzision und Ästhetik. Er ist seit 2000 Gastprofessor für Prothetik im Fortgeschrittenenkurs an der G D’Annunzio Universität in Chieti. Er ist Autor zahlreicher nationaler und internationaler Fachartikel, veröffentlichte zwei Monografien über festsitzenden Zahnersatz (mit Drs. Mario Semenza und Carlo Semenza) und ein Buch, La Precisione nella restaurazione protesica (Precision in Prosthetic Restorative Treatment; Quintessenz, 1993), zusammen mit Dr. Domenico Massironi und Alberto Battistelli.
Giuseppe Romeo, MDT, erhielt seine akademische Ausbildung in Italien und im Ausland, spezialisierte sich in Ästhetik in Genf. Er arbeitete in den USA und der Schweiz. Er besitzt ein Dentallabor in Turin, Italien, spezialisiert in ästhetischer und festsitzender Prothetik. Romeo gibt in Italien und im Ausland Kurse und ist Autor zahlreicher Fachartikel in bekannten nationalen und internationalen Zeitschriften. Er ist Mitglied der International Oral Design Foundation und der italienischen Gruppe für Dentale Technologie, er ist Beiratsmitglied und gewählter Präsident der European Academy of Dental Technologies.
Dieses Werk ist zuerst zweibändig in italienischer Sprache erschienen. Auf den ersten Blick scheint es die Beschreibung verschiedener stereomikroskopischer Systeme in der Zahnheilkunde zu sein. Die Autoren – ein Zahnarzt und zwei Zahntechniker – haben gleichwohl ein einmaliges Werk geschaffen, das für die restaurative Zahnheilkunde neue Standards hinsichtlich Präzision und Ausführung gesetzt hat. Alle Konzepte werden detailliert beschrieben und anhand von hochwertigen Illus-trationen dokumentiert. Der Text behandelt alle Behandlungsschritte für festsitzende Restaurationen von der Untersuchung des Patienten bis hin zu ausgezeichneten Kapiteln über Zahnpräparation, insbesondere das Bearbeiten im Randbereich mittels Diamanten und anderen Instrumenten. Die Abdrucknahme, die Modellherstellung, das Wax-up und Gießen sowie das Verblenden für metallkeramische Restaurationen, die endodontische wie parodontale Vorbehandlung, Herstellung der Provisorien und das definitive Zemen-tieren werden im Detail beschrieben.
Die Autoren zeigen ihre eigene spezielle therapeutische Technik. Die definitiven Ergebnisse sind jedoch so beeindruckend, dass man nichts gegen ihre Methoden einwenden kann. Jedem Kapitel schließt sich ein umfassender Literaturüberblick an, der nicht nur die italienische, sondern auch die deutsche und englische Fachliteratur für jedes Thema zitiert und damit diesem Meisterwerk einen internationalen Anstrich ver-leiht.
Jeder Zahnarzt und Techniker, der seine Techniken und Ergebnisse verbessern will, sollte dieses Werk erwerben. Den größten Nutzen dürfte es aber für Zahnmedizinstudenten und auszubildende Zahntechniker haben. Ihnen kann durch das Studium dieses Buches die Bedeutung des Begriffes Qualität in der Zahnheilkunde verdeutlicht werden.
Ich wünsche den Autoren für die englische Ausgabe den gleichen Erfolg, den die italienische hatte.
Professor Dr Peter Schärer, DMD, MS*
Dekan
Zentrum für Zahn-, Mund- und Kieferheilkunde
Universität Zürich, Schweiz
*Verfasst vor Professor Schärers Tod im Dezember 2004.
Die meisten Fälle, die die Zahnärzte heutzutage behandeln müssen, stellen hinsichtlich Ästhetik und Funktion gleich hohe Anforderungen. Die Behandlung solcher prothetischer Fälle – seien sie einfach oder komplex – umfasst verschiedene Phasen und Arbeitsschritte, bei denen sich sowohl Zahnarzt als auch Zahntechniker extrem Mühe geben müssen, wollen sie das in der Planung definierte Ziel auch erreichen. Die Bedeutung dieser initialen Phase der Diagnostik und Behandlungsplanung kann nicht hoch genug eingeschätzt werden. Der bedeutendste Faktor für die Erfüllung der immer anspruchsvoller werdenden Patientenerwartungen ist die exakte Interpretation der Zielvorstellungen der Patienten. Die Erfüllung dieser hohen Ansprüche erfordert einen konti-nuierlichen, ernsthaften Einsatz des gesamten prothetischen Teams. Zahnärzte und Techniker müssen sich hinsichtlich der Techniken und wissenschaftlichen Grundlagen ständig auf dem Laufenden halten. Nur so können sie – abgestimmt auf die verschiedenen prothetischen Behandlungsfälle – die am besten geeigneten Materialien und Methoden auswählen und effektiv anwenden.
Ziel dieses Buches ist es, dem prothetischen Team nützliche Informationen für die Behandlung unterschiedlicher klinischer Fälle und Situationen, die in der täglichen Praxis vorkommen, zu geben. Dieses Buch enthält eine genaue Analyse der wichtigsten prothetischen Arbeitsschritte (d. h. Zahnpräparation, Randgestaltung, Weichgeweberetraktion), basierend auf wissenschaftlichen Erkenntnissen und in einer für die praktische Durchführung geeigneten Darstellung. Es beschreibt die notwendigen Schritte für die Durchführung einer restaurativen Behandlung, beginnend mit der klinischen Diagnostik und dem folgenden diagnostischen Aufwachsen; weiter den korrekten Einsatz von Provisorien, die ein Fundament für die Konditionierung und die günstige Ausformung der Weichgewebe und auch für das Erreichen der geplanten funktionellen und ästhetischen Ziele darstellen.
Das Kapitel über das Zementieren enthält eine genaue Analyse der physikalischen und rheologischen Eigenschaften der Zemente und der verschiedenen Arten der adhäsiven und konventionellen Befestigung. Es umfasst auch Richtlinien zur Auswahl der am besten geeigneten Verfahren, basierend auf dem prothetischen Design und für den korrekten Einsatz der verschiedenen Zementarten. Dieses Kapitel wurde unter der Mitarbeit von Dr. Federico Ferraris erstellt. Ihm ist es gelungen, daraus ein echtes Kompendium über die speziellen Charakteristika und Indikationen der verschiedenen Zemente zu erstellen. Dieses Kapitel ist eine unschätzbare Empfehlung zur Bestimmung der Art des in verschiedenen klinischen Situationen zu verwendenden Materials.
Die Kapitel über die Laborphase der prothetischen Behandlung wurden von zwei Technikern verfasst. Jeder konzentriert sich dabei auf unterschiedliche Aspekte der Zahntechnik und bringt natürliches Talent, professionelles Wissen und Erfahrung mit ein. Die praktische Erfahrung in diesen Kapiteln kann vom Zahntechniker sofort in die Praxis umgesetzt werden. Romeo Pascetta behandelt die Kapitel über Genauigkeit bei Metall- und Keramikverarbeitung, speziell gegossene Keramik und die neuesten CAD/CAM-Systeme unter Verwendung von Zirkoniumdioxid- und Aluminiumoxid-Keramiken. Giuseppe Romeo ist der Autor der technischen Sektion über ästhetische Implikationen bei der Restauration, mit besonderer Beachtung des diagnostischen Aufwachsens, der Kommunikation mit Patient und Zahnarzt sowie der Herstellung von Vollkeramikversorgungen.
Hauptziel der Autoren ist es, dass dieses Werk zusammen mit dem labortechnischen Teil nicht nur als Präsentation qualitativ hochwertiger Bilder und klinischer Fälle dient, sondern auch in allen wichtigen Bereichen ein praktisches Nachschlagewerk für den Zahnarzt und Techniker darstellt. Dies alles in Harmonie mit den Prinzipien der Zahntechnik und gründend auf wissenschaftlichen Erkenntnissen und praktischen Erfahrungen. Die Autoren sind stolz und dankbar, dass sie hier ein Werk präsentieren können, basierend auf ihrem Wissen und ihrer praktischen Erfahrung, die aus ihrer 17-jährigen praktischen Routine in der Anwendung des Stereomikroskopes resultiert. Sie hoffen, dass dieses Buch Zahnärzten, Technikern und nicht zuletzt den Patienten weltweit zugute kommt.
Domenico Massironi
Dieses Buch wäre ohne die Hilfe und den Einsatz zahlreicher Mitarbeiter nicht möglich gewesen. Diese nahmen aktiv und mit Engagement an diesem Projekt teil. Sie taten dies aus Freundschaft und Anteilnahme an den höchsten Standards der professionellen Zahnheilkunde und Zahntechnik.
Mit großem Vergnügen widmen wir denjenigen, die ihre Zeit und Mühe so großzügig gegeben haben und damit eine unauslöschliche Spur in unserer Erinnerung gelegt haben, diesen kurzen Abschnitt. Herzlichen Dank an alle!
Domenico Massironi
Mein Dank gilt Romeo Pascetta und Giuseppe Romeo, meinen Zahntechnikern, Freunden, Kollegen und Koautoren dieses Buches. Sie schaffen mit ihrem außerordentlichen Geschick die prothetischen Arbeiten, die in meiner Praxis eingesetzt werden. Dank gilt auch Alberto Battistelli, der über Jahre meine Leidenschaft und mein Engagement für Präzision in der restaurativen Zahnheilkunde geteilt hat. Ohne deren Kompetenz und Fähigkeiten wären die Arbeiten, die im klinischen Teil dieses Buches demonstriert werden, nicht zustande gekommen.
Dank gilt auch Dr. Federico Ferraris für seinen Einsatz und sein Organisationstalent, die bei der Herausgabe und Korrektur des Buches so nützlich waren.
Frau Paola Gandini, Professorin für Kieferorthopädie an der Universität Pisa, danke ich herzlich für die Präsentation der klinischen Fälle, die wir zusammen behandelt haben. Ich danke auch Dr. Susanna Cottica für ihre fortwährende Unterstützung und für die Korrektur des Manuskriptes.
Mein Dank gilt auch Dr. Paolo Trisi, Pescara (Italien), für die histologischen Präparate und die mikroskopische Darstellung in Kunststoff eingebetteter Materialien unter polarisiertem Licht.
Ich danke allen Doktoren, die mit Einsatz, Freundschaft und professioneller Unterstützung in meiner Praxis mitarbeiten: Alessandro Vanetti, Patrizia Oggioni und Pietro Fusari.
Besonderer Dank gilt Dr. Mario Vigoni für die Aufarbeitung der wissenschaftlichen Literatur.
Spezieller Dank für die Herausgabe geht an die Mannschaft von Quintessence Publishing USA und an Cristina Reina von Quintessence Publishing Italien sowie an Dr. Cristian Coraini.
Dank auch an die Techniker Emilio Parmigiani und Marco Ferrario für die Mithilfe bei der Realisierung einiger technischer Abschnitte.
Besonderer Dank gilt meiner Schwester Anna Massironi für die intensive Teilnahme und große Unterstützung an meinen didaktischen und wissenschaftlichen Aktivitäten.
Dank gilt ebenso meinen Mitarbeitern der Gandini-Massironi-Praxen: Sara Scaiola, Mirella Ferri, Maria Rosa Farina, Cristina Colimbi, Emanuela Badaracco für ihre konstante und zuverlässige Unterstützung.
Romeo Pascetta
Mein Dank gilt Federico Di Primio, einem außergewöhnlichen Zahntechniker und Mitarbeiter seit vielen Jahren. Seine unerschütterliche kompetente Unterstützung hat maßgeblich zu meinem beruflichen Erfolg beigetragen.
Ich danke Dr. Domenico Massironi dafür, dass er mich an diesem Projekt teilnehmen ließ und mir wichtige Anregungen gegeben hat, die mich fachlich und menschlich weitergebracht haben.
Dank gilt besonders meiner Frau Dr. Stefania De Deo für ihre aufopferungsvolle Geduld, die sie mit mir hatte und für ihre unschätzbare Assistenz bei der Zusammenstellung des Manuskriptes. Ich danke auch meinen Söhnen Stefano und Giulio für ihre Ermunterung und Unterstützung.
Giuseppe Romeo
Meine berufliche Hochachtung und mein Dank gelten Dr. Domenico Massironi für die tagtägliche Zusammenarbeit und dafür, dass er mich an diesem Projekt teilnehmen ließ.

Die Autoren werden von wissenschaftlichen Kollegen oft gefragt, warum sie so viel Wert auf Präzision legen. Ohne hier zu philosophieren sollte der Begriff näher determiniert werden. Precisione, das italienische Wort für Präzision bezeichnet nach einem führenden italienischen Lexikon folgendes: (1) die Qualität einer Person oder eines Gegenstandes; (2) innerhalb bestimmter Grenzen exakt; (3) Ausführung einer Aufgabe exakt wie gefordert, ohne Fehler. Diese einfachen Definitionen verdeutlichen, dass Präzision in einem absoluten, strengen Sinn nicht existiert, da sich ihre Definition auf vorher bestimmte Grenzen und Maßstäbe bezieht; das absolute Niveau der Präzision kann also bis ins Unendliche steigen.
Während die Definition die Möglichkeit zur kontinuierlichen Verbesserung offen hält, enthält sie aber auch eine gewisse Subjektivität in dem Sinne, dass jeder in seiner Praxis ein persönliches Modell für Präzision entwickeln kann. Als Praktiker tun wir dies, indem wir subjektive Grenzen der Akzeptanz setzen, die oft auf einer überhöhten Einschätzung der eigenen Fähigkeiten basiert1. Es ist also nutzlos, eine Standardisierung des Konzeptes der Präzision zu versuchen. Die Autoren halten es vor allem in Hinblick auf prothetische Restaurationen für einen Irrtum, die Präzision prinzipiell am Randschluss, gemessen in Mikron, zu bewerten.
Für die Autoren ist es nicht die schwer fassbare Qualität der Präzision, die sie anstreben, sondern die möglichst geringe Ungenauigkeit – ein Standard, den man in der täglichen Praxis in jedem Behandlungsfall erreichen kann; dabei muss man die inhärente statistische Variabilität einberechnen. Ziel ist es zum Beispiel, das Volumen des Befestigungszementes auf ein Minimum zu reduzieren und dessen Schichtdicke möglichst gering zu halten, um auf diese Weise die Kontraktionsspannung während des Abbindens zu reduzieren.
Eine zu dicke Zementschicht ergibt eine Exposition im Randbereich. Diese erhöht wiederum das Frak-turrisiko sowie die Gefahr des Auflösens des Zementes durch den Speichel und bildet die Grundlage für ein kurz- oder mittelfristiges Scheitern der Restauration (Abb. 1 bis 3).
Zusätzlich zur Verringerung der Fehlerquote verbessert eine Kontrolle des Randspaltes die Möglichkeit des Patienten, eine effektive häusliche Plaquekontrolle durchzuführen, auf diese Weise die Plaqueakkumulation zu minimieren und eine Entzündung zu vermeiden (Abb. 4 bis 9).
Die Hauptursachen für Fehler bei Restaurationen können in biologische und biomechanische eingeteilt werden.
Biologische Ursachen:
• Sekundärkaries (Abb. 10)
• Endodontische Probleme (Abb. 11)
• Parodontale Probleme (Abb. 12)
Biomechanische Ursachen:
• Fraktur des Befestigungszementes
• Wurzelfraktur (Abb. 13)
• Gerüstfraktur
• Fraktur der Keramikverblendung
• ästhetische Probleme
• Okklusionsprobleme

Abb. 1 Kariesfreier aus parodontalen Gründen extrahierter Zahn. Der Zahn wurde in Kunststoff eingebettet und geschnitten; die Randpassung wurde unter dem Mikroskop untersucht.

Abb. 2 Schliffpräparat: Randbereich einer Metallkeramikkrone, 100fach unter polarisiertem Licht vergrößert. Im Bereich der Stufe findet sich ein Spalt von 100 µm.

Abb. 3 Ein anderer Schnitt durch die gleiche Krone an einer anderen Stelle zeigt einen noch größeren Randspalt, Frakturzonen im Zement und Fehlen des Zementes im äußersten Bereich, der in Kontakt zum Speichel ist.

Abb. 4 und 5 Klinischer Fall vor und nach der Versorgung, dem Ersatz einer ästhetisch unbefriedigenden Restauration. Wie man in Abbildung 8 sieht, war die Kronenform das primäre Problem. Die zentralen Schneidezahnkronen weisen ein Verhältnis von Länge zu Breite von 1:1 auf, was die quadratische Zahnform ergibt. Besser wäre ein Verhältnis von 0.75:0.80, dies ergibt eine ästhetisch gefälligere Form2-4. Die mangelhafte Passgenauigkeit im Randbereich, die zu einer gingivalen Rezession an allen Schneidezähnen geführt hat, ist sichtbar. Die neuen Kronen zeigen die richtige Kronenform und -länge. Die natürliche Erscheinung der Kronen resultiert aus der Verlagerung des Zenits des Gingivaverlaufs nach distal unter Beachtung der zentralen Zahnachse.

Abb. 6 Seitliche Ansicht der Kronen durch das OPMI 1 Mikroskop (Zeiss) mit integriertem Ringblitz. In dieser 25fachen Vergrößerung erkennt man deutlich die Unvollkommenheit der Randadaptation und das Ausmaß der Gingivaretraktion.

Abb. 7 25fache Vergrößerung der neuen Versorgung (Feldspat-Keramikkronen) sechs Monate nach Einsetzen.

Abb. 8 und 9 Gleicher Fall wie in den Abbildungen 4 bis 7, bei stärkerer Vergrößerung im OP-Mikroskop: klinische Situation sechs Monate nach dem Einsetzen. Perfekte ästhetische Integration in Relation zu den Unterkieferzähnen. Vor allem die Ränder zeigen ein korrektes Austrittsprofil und eine ausgezeichnete Beziehung zum Weichgewebe.

Abb. 10 Sekundärkaries ist die häufigste Ursache eines prothetischen Misserfolges; die Folge ist der Verlust der Abdichtung zwischen Restauration und Zahnsubstanz. Dieser Zahn wurde aus parodontalen Gründen entfernt. Deutlich zu sehen ist der Bereich der Sekundärkaries zwischen Kronenrand und Zahn. Abb. 11 Endodontische (biologische) Probleme sind oft die Ursache eines prothetischen Misserfolges; dieses Röntgenbild zeigt eine periapikale Läsion an Zahn 14, dem mesialen Brückenpfeiler. Der Patient hatte einen akuten Abszess. Die periapikale Transluzenz ist ein sicheres Zeichen für die periapikale Infektion. Abb. 12 Dieser Zahn ist mit einer Goldkrone versorgt. Der Zahn wurde aus parodontalen Gründen wegen des vollständigen Verlustes des Zahnhalteapparates extrahiert. Der Zahn stellt den Hauptindikator für die parodontale Gesundheit in allen Abschnitten der Behandlung (initiale Evaluation, vor und nach der prothetischen Versorgung und vor allem in der Erhaltungsphase) dar. Abb. 13 Devitaler Zahn, versorgt mit einem Wurzelstift aus Gold und einer Metallkeramikkrone; Frakturlinie im koronalen und mittleren Wurzelbereich. Der Zahn wurde wegen eines akuten Parodontal-Abszesses entfernt. Auch ohne parodontale Symptome hat ein Zahn mit einer Wurzelfraktur im mittleren Drittel eine schlechte Prognose.
In der Praxis der Autoren ist Präzision meist mit Genauigkeit gekoppelt. – Ein Konzept, das weniger eingeschränkt ist und besser zur Komplexität der prothetischen Behandlung passt. Wir sind der Meinung, dass es hinsichtlich der Genauigkeit produktiver ist, nicht nur die Ränder, sondern auch komplexe operative Arbeitsschritte, die alle bei starker Vergrößerung geplant und durchgeführt werden, zu prüfen (Abb. 14 bis 17).
Oft ist es schwierig, Ästhetik und Präzision gleichzeitig zu erzielen. Häufig wird eher die Ästhetik angestrebt als die Präzision oder umgekehrt. Vertreter der Ästhetik behaupten oft, dass für die Gesundheit des Parodonts gar keine exzessive Präzision erforderlich sei. Die Anhänger der Präzision preisen dagegen die Tugenden von Gold, dem einzigen Material, das präzise Ränder garantieren kann (Abb. 18 und 19).
Die Arbeitsphilosophie der Autoren hat demgegen-über das oberste Ziel aller Heilbehandlung – die Gesundheit des Patienten wieder herzustellen – und dabei jedoch auch die funktionellen und ästhetischen Bedürfnisse des Patienten zu befriedigen.
Aus diesen Gründen haben die Autoren ein zahnärztliches und technisches Team aufgebaut, das in der Lage ist, die Anforderungen aller Arten restaurativer Therapie sowohl ästhetisch als auch funktionell zu erfüllen, und zudem fähig ist, die Prinzipien der Präzision sowie materialkonformen Technik zu beachten (Abb. 20 bis 25).
1. Mitchell CA, Pintado MR, Douglas WH. Nondestructive, in vitro quantification of crown margins. J Prosthet Dent 2001;85:575-584.
2. Rufenacht CR. Fundamentals of Esthetics. Berlin: Quintessence, 1990.
3. Rufenacht CR. Principles of Esthetic Integration. Berlin: Quintessence, 2000.
4. Chiche G, Pinault A. Esthetics of Anterior Fixed Prosthodontics. Chicago: Quintessence, 1994.

Abb. 14 Detail eines Präparationsrandes für eine Vollkrone bei 25facher Vergrößerung, Retraktionsfaden in situ vor der Abdrucknahme.

Abb. 15 Gerüsteinprobe (Gold-Palladium-Legierung); Coping bei 25facher Vergrößerung.

Abb. 16 und 17 Höchste Präzision und Genauigkeit sind das Ziel jedes einzelnen Arbeitsschrittes, sowohl beim Zahnarzt als auch beim Techniker. Dies verdeutlichen der perfekte Randschluss dieser Wachsmodellation und die Passgenauigkeit des Metallrandes nach Politur vor der Auslieferung an den Zahnarzt.

Abb. 18 und 19 Randspalt bei einer Metallkrone (18) und einer Vollkeramikkrone ohne verstärkenden Core (19). Diese Unvollkommenheit ist so gering, dass sie mit Zement ausgefüllt werden kann. Allerdings ist der Zement dem Speichel ausgesetzt, was kurz- oder mittelfristig zu einem Misserfolg führen kann, je nach Zementierungstechnik und -material.

Abb. 20 Stereomikroskopische Aufnahme des Randbereiches einer Krone aus hochgoldhaltiger Legierung (Captek, Leach und Dillon), auf einem Kunststoffstumpf nach Elastomer-Abdruck.

Abb. 21 Schliffpräparat einer metallkeramischen Krone (Captek, Leach und Dillon) nach Zementieren mit Glasionomerzement; Kunststoffeinbettung unter polarisiertem Licht und 100facher Vergrößerung. Der Wurzelzement ist blau, das Bondingmaterial grau, das Metall schwarz und leicht grau dargestellt. Die starke Vergrößerung lässt auch die Dentintubuli erkennen. 8

Abb. 22 Stereomikroskopische Aufnahme einer Feldspat-Keramikkrone ohne Core vor dem Einbetten in Kunststoff.

Abb. 23 Der Schnitt erlaubt einen Vergleich zwischen dem klinischen und dem histologischen Befund.

Abb. 24 Schliffpräparat der mit Komposit eingesetzten Krone, 100fach vergrößert im polarisierten Licht; deutlich zu erkennen ist die hohe Präzision des Randschlusses, die mit Feldspat-Keramik zu erzielen ist.

Abb. 25 Auch bei einer Metallkeramikkrone mit Keramikrand ist ein hoher Grad an Präzision möglich.
Die klinische Diagnose ist in der Medizin ein fundamentaler Schritt bei der Planung und Durchführung einer Behandlung. Sie resultiert aus der Untersuchung des Patienten und der Analyse der Ergebnisse verschiedener klinischer Tests. Dies gilt auch für die Zahnheilkunde; die klinische Diagnose basiert auf einer klinischen Untersuchung (Abb. 1-1 bis 1-3) speziell in der betroffenen Region, die mittels einer Reihe von instrumentellen Verfahren durchgeführt wird. Diese Tests umfassen oft intraorale Röntgendarstellungen (Bissflügelaufnahmen, einzelne oder zahlreiche Bilder in apikaler Projektion, Panoramaröntgeng1,2) und gelegentlich axiale CT-Aufnahmen. Die Röntgenuntersuchung wird ergänzt durch die Auswertung scharnierachsenbezüglich einartikulierter diagnostischer Modelle (Mittelwert in einfachen oder kinematisch bestimmte Scharnierachse in komplexen Fällen3-5 mit Gesichtsbogen) (Abb. 1-4). Da sich dieses Buch einer anderen Thematik widmet, werden klinische Untersuchung und instrumentelle Analyse nicht weiter diskutiert. Statt dessen wird auf die spezielle Diagnostik und die diagnostischen Modelle bezüglich der Möglichkeiten einer restaurativen Behandlung genauer eingegangen.
Es ist in jedem Falle wichtig, den Behandlungsplan erst nach einer sorgfältigen initialen Untersuchung aufzustellen. Dazu gehört die Patientenanamnese. Der Patient sollte über die Ausgangsbefunde in der zu behandelnden Region informiert werden. Es sollte eine einvernehmliche Zusammenarbeit6 zwischen Patient und Behandler aufgebaut werden. Es ist von grundsätzlicher Bedeutung, dem Patienten die ätiologie der pathologischen Befunde deutlich zu machen, ihn zu motivieren, um so eine aktive Mitarbeit zu erreichen. Diese Mitarbeit ist entscheidend für die Kontrolle der bakteriellen Plaque und für den Umgang mit der individuellen Karies- bzw. Parodontitisanfälligkeit. Dies sind die beiden häufigsten Erkrankungen in der Mundhöhle.
Deshalb ist es wichtig, nach der klinischen Untersuchung diagnostische Röntgenbilder anzufertigen. Sie sind die Grundlage für die Diagnosestellung und die anschließende Behandlungsplanung. Weist der Patient parodontal pathologische Befunde auf, so muss vor dem Behandlungsplan die Phase 1 der Therapie, die Parodontalbehandlung, abgeschlossen sein (initiales und abschließendes Sondieren) (Abb. 1-5 bis 1-9).

Abb. 1-1 Die klinische Untersuchung sollte vorhandene pathologische Befunde identifizieren. Für eine genaue Diagnose und den zu erstellenden Behandlungsplan sollten so viele Werte wie möglich gesammelt werden. Vor der Entscheidung für eine bestimmte Behandlungsmethode muss durch Sondieren ein parodontaler Befund der infrage kommenden Region erhoben werden. Abb. 1-2 und 1-3 Die klinische Untersuchung zeigt jegliche Fehler bei vorhandenen Restaurationen hinsichtlich Form und Größe. Eine wichtige Referenz für den Techniker lässt sich dadurch schaffen, dass man Aufnahmen der Kronen mit einer kalibrierten Sonde macht. Abb. 1-4 Axiografische Aufzeichnungen der individuellen Scharnierachse mit Bestimmung der Frontzahnführung und des Bennett Winkels sind bei Gesamtsanierungen wichtig. Abb. 1-5 Frontalansicht der Zähne einer jungen Patientin, die zur Routineuntersuchung kam, in maximaler Interkuspidation. Auf den ersten Blick klinisch gesunde Verhältnisse. Abb. 1-6 Die parodontale Sondierung ergibt jedoch pathologische Werte. Diese sind oft lokalisiert und hängen mit einer eingeschränkten Plaquekontrolle in diesem Bereich zusammen.
Nun liegen wichtige klinische Befunde vor: Röntgenstatus (mindestens 16 Bilder) (Abb. 1-10 bis 1-14 und 1-18), Panoramaaufnahmen (Abb. 1-15 bis 1-17), Parodontalstatus (Abb. 1-9) und vor allem Information über die Fähigkeiten und den Willen des Patienten zu einer effektiven Plaquekontrolle (Abb. 1-19 bis 1-24).
Die eigentliche Versorgung kann erst beginnen, wenn die Hygienephase durchgeführt wurde und der Patient gezeigt hat, dass er eine korrekte häusliche Mundhygiene durchführen kann.
Entsprechend den klinischen Notwendigkeiten und der Disposition für orale Erkrankungen (Karies, Parodontitis) des jeweiligen Patienten kann ein individuelles Hygieneprogramm entwickelt werden (Abb. 1-25 bis 1-29).
Ein erfolgreiches funktionelles und ästhetisches Ergebnis darf nicht dem Zufall überlassen werden. Es muss durch eine lange Phase klinischer Behandlungsschritte unter Einschluss der Hygienephase, der temporären Versorgung, der Zahnpräparation, einer geeigneten Gingivaretraktion, korrekter Abdrucknahme und letztlich dem sorgfältigen Zementieren erreicht werden. Diese Phasen lassen sich als „klinisches Puzzle“ ansehen, bei dem kein Segment übersehen oder weggelassen werden darf; sonst würde der Erfolg der gesamten Behandlung und das Erreichen des angestrebten Zieles gefährdet.

Abb. 1-7 und 1-8 Der aus 16 Aufnahmen bestehende Röntgenstatus weist eine schwere, generalisierte Parodontalerkrankung mit einigen besonders gefährdeten Stellen auf.

Abb. 1-9 Die parodontale Sondierung zeigt hohe Werte mit Bi- und Trifurkationsbeteiligung durch die aktive Parodontitis. Es sind nur die pathologischen Werte verzeichnet.

Abb. 1-10 bis 1-12 Ein vollständiger Röntgenstatus dient zur Diagnostik vor einer komplexen Behandlung und nach deren Abschluss. Diese Röntgenbilder zeigen die Situation zu Beginn, nach der ersten Präparation und unmittelbar nach Abschluss der Behandlung. Die 50-jährige Patientin zeigt eine schwere Parodontalerkrankung mit Auffächerung der Frontzähne und Verlust einiger Seitenzähne durch Furkationsläsionen. Die Patientin erhielt eine resektive Parodontaltherapie mit nachfolgender kieferorthopädischer Behandlung, Implantation und restaurativer Behandlung. Die Abschlussröntgenbilder zeigen die durch den kieferorthopädischen Eingriff intrudierten Oberkieferfrontzähne (Abb. 1-12).

Abb. 1-13 und 1-14 Vergleich des Röntgenbefundes der Frontzähne vor und nach der prothetischen Behandlung. Zustand nach Abschluss der orthodontischen Intrusion vitaler Zähne, präpariert zur Aufnahme von Kronen. Ziel war es, die Zähne zu verblocken und damit zu stabilisieren, um so ein Rezidiv der Protrusion der Zähne zu verhindern.

Abb. 1-15 und 1-16 Panoramaaufnahmen eines 75-jährigen Patienten mit Parodontalerkrankung und dem Verlust einiger Seitenzähne; vor und nach der Therapie.

Abb. 1-17 Panoramaaufnahme eines 55-jährigen Mannes, dessen abnehmbare Prothese durch eine festsitzende Versorgung abgelöst werden sollte. Der Behandlungsplan sah vier osseointegrierte schraubenförmige Implantate im Unterkiefer sowie Sinuslift und zylindrische Implantate im Oberkiefer vor.

Abb. 1-18 Röntgenstatus nach Abschluss der Behandlung mit einem zufrieden stellenden Ergebnis.


Abb. 1-19 bis 1-24 Die Motivation des Patienten ist die Basis jeder Behandlung, sei sie einfach oder komplex. Regelmäßige professionelle Reinigung, angepasst an die Bedürfnisse des Patienten und ein Leben lang, muss sich an jede Behandlung anschließen. Diese Bilder zeigen einen klinischen Fall: eine 30-jährige Frau, bei der eine Vorbehandlung und eine resektive Parodontalbehandlung durchgeführt wurden. Die Bilder zeigen den klinischen Zustand vor (Abb. 1-19, 1-21 und 1-23) und nach (1-20, 1-22 und 1-24) der Behandlung. Parodontal gesunde Verhältnisse sieben Jahre nach Abschluss der Behandlung, festgestellt in einer Recall-Sitzung. Abb. 1-25 und 1-26 Nicht chirurgische Behandlung einer Gingivarezession vor und ein Jahr nach der Behandlung. Das creeping attachment wurde nicht chirurgisch in verschiedenen Sitzungen erreicht. Abb. 1-27 ähnlicher klinischer Fall, der auch nicht chirurgisch gelöst wurde. Abb. 1-28 Abheilung nach sechs Monaten. Abb. 1-29 Stabiler parodontaler Zustand nach acht Jahren: entzündungsfrei und ohne Rezidiv.
Das so genannte klinische Puzzle (Abb. 1-30) beginnt immer mit dem Studium von Modellen, die nach Abformungen mit Alginat angefertigt wurden. Die diagnostischen Modelle werden in einem semiadjustierbaren Artikulator eingesetzt, üblicherweise nach Mittelwerten und einem anatomischen Gesichtsbogen. Diese Methode erlaubt dem Zahnarzt, die Patientenbewegungen und die Relation der beiden Zahnbögen zu analysieren. Dadurch lassen sich die Okklusion und die Durchführbarkeit der geplanten Maßnahmen bewerten. Diese Modellanalyse wird durch klinische und röntgenologische Diagnostik und weitere Tests ergänzt.
Diese klinischen Maßnahmen müssen durch ein fähiges professionelles Laborteam ergänzt werden. Der Techniker komplettiert das „Laborpuzzle“ (Abb. 1-31) je nach Therapieziel durch Gießen, Trimmen, Aufwachsen, Metall-, Kunststoff- und Keramikarbeiten. In einfachen Fällen, wenn die Behandlung darauf abzielt, die Funktion und Ästhetik wieder herzustellen ohne größere Modifikationen durchzuführen und auch die Kreativität des Technikers nicht groß gefordert wird, kann man darauf verzichten, eine präprothetische Laboranalyse zu machen; es geht nur darum, die vorhandene Situation zu kopieren (Abb. 1-32 und 1-33). In komplexeren Fällen sollte der Zahnarzt diese Phase des diagnostischen Auswachsens nicht übergehen. Denn dies ist für die Diagnose und die nachfolgende Realisierung des prothetischen Behandlungsplans essenziell7 und erleichtert auch die Kommunikation mit dem Patienten, da er die geplante Rekonstruktion und die Modifikationen unmittelbar sehen kann. Dies ist für die Zustimmung und die Einwilligung des Patienten sehr wichtig8-10.
Das diagnostische Aufwachsen erfordert klinische Grundfertigkeiten im Labor. Der Techniker führt es nach präzisen Vorgaben durch den Zahnarzt aus. Der Zahnarzt informiert das Labor über den Behandlungsbeginn, die vorhandenen Zähne und den Parodontalzustand, was eine akkurate detaillierte Analyse der zu versorgenden Zähne ermöglicht. In dieser Phase sollte der Zahnarzt den Zahnbefund, das Lächeln und allgemeine Charakteristika des Patienten durch Fotos dokumentieren. Diese werden auch dem Labor übergeben und ermöglichen dem Zahntechniker in dieser Planungsphase das diagnostische Aufwachsen nach patientenspezifischen Charakteristika auszurichten (Abb. 1-34).
Der Techniker stellt doppelte Gipsmodelle her. Ein Satz dient der Dokumentation. Nach Anweisungen des Zahnarztes (Restzahnbestand) analysiert der Techniker die Okklusion und die Artikulation (Protrusion und Laterotrusion) unter besonderer Berücksichtigung der funktionellen Aspekte (Spee Kurve, Wilson Kurve; d. h. anterior-posterior und mediolateral).
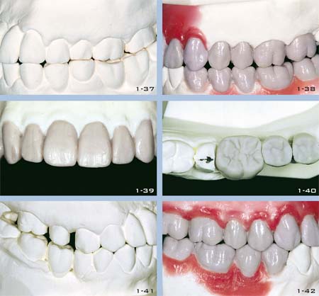
Danach erfolgt die ästhetische Analyse: Form und Größe der natürlichen Zähne oder Kronen, die ersetzt werden sollen, Relation der Zähne zum Weichgewebe und dem Gingivaverlauf, Tiefbisssituation, Kreuzbiss, Diastemata und die Beziehung der Zähne zu den perioralen Geweben. Diese Untersuchung kann die Notwendigkeit für eine präprothetische kieferorthopädische oder parodontale Vorbehandlung ergeben. Dies muss mit dem Zahnarzt diskutiert werden (Abb. 1-35 bis 1-42)11,12. Diese ästhetischen Prüfungen können die ideale Position der Zähne, die durch eine kieferorthopädische Behandlung erreicht werden kann, feststellen oder auch die Notwendigkeit, die Zahnrelation zum Weichgewebe durch mukogingival-chirurgische Maßnahmen zur Abdeckung von Defekten zu optimieren13,14.

Abb. 1-30 Klinisches Puzzle; für ein klinisch zufrieden stellendes Ergebnis der prothetischen Behandlung ist die korrekte Durchführung aller klinischen Teilschritte erforderlich. Es darf kein einziger Schritt auf dem Weg zum Behandlungsziel übergangen werden.
Abb. 1-31 Laborpuzzle; das Ergebnis einer prothetischen Behandlung basiert auf der Zusammenarbeit zwischen Zahnarzt und Zahntechniker. Jeder muss die Fähigkeiten des Partners einschätzen können und respektieren. Der Techniker muss in allen Phasen möglichst exakt arbeiten.


Abb. 1-32 bis 1-33 Mit einer Feldspat-keramikkrone restaurierter Einzelzahn. Form- und Farbcharakteristika des kontralateralen Zahnes werden ohne kreative Spielereien kopiert. Abbildung 1-32 zeigt die klinische Situation vor Entfernung der alten Metallkeramikkrone. Abb. 1-34 Fotografien vom Lächeln des Patienten drücken oft Aspekte der Persönlichkeit und der Erwartungshaltung des Patienten aus. Abb. 1-35 bis 1-42 Das diagnostisches Aufwachsen entwickelt den Laborbehandlungsplan. Nur durch die Information über die restlichen Zähne und die Modelle im Artikulator kann der Techniker die definitive Krone aufwachsen. Die Art der geplanten Behandlung beeinflusst ebenso das Design der aufgewachsten Krone. Vor dem Herstellen der definitiven Krone wird eine provisorische Krone angefertigt, um ungünstige Parameter und Zahnstellungen modifizieren zu können und dadurch eine optimale Form und Funktion wieder herzustellen. In diesem Fall sind orthodontische Zahnbewegungen geplant, was manchmal auch eine Veränderung der Spee Kurve bedeuten kann. Die Abbildungen zeigen den Ausgangsbefund im Vergleich zum Wax-up der verschiedenen Segmente.
Nach Fertigstellung des diagnostischen Aufwachsens verwendet der Zahnarzt diese Modelle im Vergleich zu den Ausgangsmodellen, um mit dem Patienten den Behandlungsplan erneut zu diskutieren. Die Abbildungen 1-43 bis 1-57 stellen einen Fall vor, bei dem das diagnostische Wax-up (s. Abb. 1-48) zum Einsatz kam, um die Durchführung einer erfolgreichen Behandlung zu erleichtern. Es sollte darauf Mühe verwendet werden, dem Patienten die grundsätzlichen Intentionen des Aufwachsens und die prinzipiellen Behandlungsschritte des klinischen Behandlungsplanes zu erklären (Abb. 1-58 und 1-59).
Das „prothetische Puzzle“ setzt sich aus klinischen und Labormaßnahmen zusammen. Zur Planung der definitiven Versorgung müssen daher Zahnarzt und Zahntechniker als Team zusammenarbeiten.
Der Kliniker sollte genau Bescheid wissen, was nach der Abdrucknahme geschieht, wie die Modelle getrimmt werden, um die intakte Zahnsubstanz außerhalb der Präparationsgrenzen darzustellen. Der Techniker muss wissen, wie das Weichgewebe mit den temporären Kronen konditioniert wurde, nach welcher Technik präpariert wurde und welche Eigenschaften die verschiedenen Abformmaterialien besitzen. Zahnarzt und Techniker sind jeweils für ihre speziellen Aufgaben verantwortlich. Sie müssen aber die gegenseitigen klinischen und technischen Abläufe kennen, um zu einem effizienten Team zu werden, mit dem Ziel einer korrekten Diagnose und Therapie des Patienten.
Erst wenn jede notwendige endodontische Behandlung abgeschlossen ist und die zu versorgenden Zähne präpariert sind, kann die Herstellung der Restauration beginnen. In dieser Phase ist zu entscheiden, welche Materialien für die definitive Versorgung zur Anwendung kommen sollen. Die Auswahl der restaurativen Materialien erfolgt primär nach funktionellen Kriterien. Es gibt einige Materialien, die stark genug sind, mehrere Zähne miteinander zu verbinden; deren ästhetische Qualitäten sind aber nicht gerade optimal. Andere dagegen sind ästhetisch ansprechend, wie etwa transluzente Keramiken, die mit adhäsiven Zementen zum Einsatz kommen. Es ist sehr wichtig zu Beginn der rekonstruktiven Phase zu entscheiden, welches restaurative Material eingesetzt werden soll und zwar sowohl in Hinblick auf die Präparation als auch bezüglich der Art der geplanten Rekonstruktion. Eine transluzente Restauration ist über einer Zahnpräparation mit Goldaufbau oder ähnlichen Materialien unattraktiv. Zudem haften die beiden Materialien schlecht aneinander, was kurzfristig zu Problemen führen kann. Ebenso gibt eine 50-Grad-Schulterpräparation für eine Feldspat-keramik nicht genügend Abstützung, da das Material Spannungsbelastungen unterworfen ist. Dies kann beim Kauen oder sogar beim Zementieren zu Randfrakturen führen. Bei der Materialauswahl ist aber neben dem funktionellen Aspekt meist die Ästhetik entscheidend. Diesbezüglich gibt es subjektive und objektive Aspekte. Die subjektive Ästhetik sollte unserer Meinung nach den Zahnarzt nicht groß kümmern, da der persönliche Geschmack auf der Anatomie und der Harmonie des Ganzen beruht und dies für jeden Patienten spezifisch ist. Die objektive Ästhetik bezieht sich dagegen auf die Art des Aufbaus und der Präparationsform, die der Zahnarzt wählt. Auch objektive Faktoren besitzen in größerem oder geringerem Maß ästhetische Eigenschaften. Die objektive Ästhetik kann durch Kombinationen von Material und Randgestaltung optimiert werden. Es gibt folgende Behandlungsoptionen:

Abb. 1-43 31-jährige Frau mit Metallkeramikkronen auf den devitalen seitlichen Schneidezähnen im Oberkiefer; rötlich braune Verfärbung des rechten zentralen Schneidezahnes, der zehn Jahre zuvor devitalisiert worden war. Kurze Oberlippe, dadurch Gingivaexposition beim Lächeln. Diese Befunde und die unterschiedlichen Farben machen das Lächeln deutlich unästhetisch.

Abb. 1-44 Stärkere Vergrößerung der Frontzahnregion. Nach der Vorbehandlung mit zwei Sätzen an Provisorien entschied man sich für zwei Keramikkronen auf die seitlichen Schneidezähne und für Keramikveneers auf die zentralen Schneidezähne. Ziel ist es, den überbiss durch Kürzen und Verändern der Form der Zähne zu korrigieren, wie im Waxup (Abb. 1-48) zu sehen. Gleichzeitig sieht der Behandlungsplan vor, die Kronen zu verlängern und den Zenit der Gingiva in eine idealere Position zu verlagern sowie durch Verlagerung der Gingiva auf Höhe der Schmelz-Zement-Grenze die gesamte klinische Krone freizulegen. Unter Beibehaltung der okklusalen Führung reduziert dies den überbiss und das „gummy smile“.

Abb. 1-45 Die Gingivakontur ist hier vom Techniker markiert; dies zeigt die unvollständige Extrusion der klinischen Kronen an den zentralen Schneidezähnen und die unnormale Position der seitlichen Schneidezähne in Relation zu ihren Nachbarzähnen.

Abb. 1-46 Korrektur auf dem Gipsmodell.

Abb. 1-47 und 1-48 Nach einer Modellgingivektomie wird die ideale Position des Gingivaverlaufs und die neue zervikale Ausdehnung der Kronen am Modell mit einem Bohrer ausgeformt und das diagnostische Wax-up mit dem Ziel fertig gestellt, das ideale ästhetische Ergebnis, wie es dem Patienten vorgeschlagen wurde, in Wachs zu reproduzieren. Die Form und Anatomie der Zähne wurden vom Techniker so geplant, dass die Dominanz der zentralen Schneidezähne wieder hergestellt wurde.

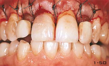
Abb. 1-49 Chirurgische Kronenverlängerung an den oberen Frontzähnen.

Abb. 1-50 Die neue Position der Gingiva und des Knochenkammes unmittelbar nach der Knochenresektion.

Abb. 1-51 Klinische Situation nach Entfernen der alten Kronen.

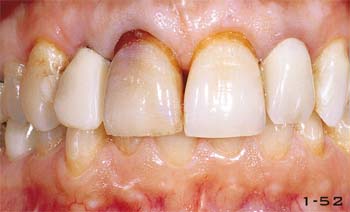
Abb. 1-52 Provisorische Kronen in situ (s. Kap. 7 u. 8). In dieser Phase können die devitalen Zähne gebleicht werden.

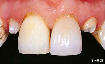
Abb. 1-53 Nur nach ausreichendem Bleichen können die lateralen Schneidezähne mit Fiberglasstiften und -Aufbauten versorgt werden.

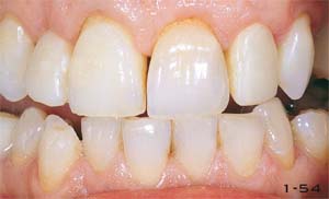
Abb. 1-54 Zustand nach Bleichen und nach Präparation der Zähne für Vollkeramikkronen an den seitlichen und Veneers an den zentralen Schneidezähnen. Das zweite Provisorium, das nach einem Duplikatmodell des Waxups angefertigt wurde, befindet sich in situ.

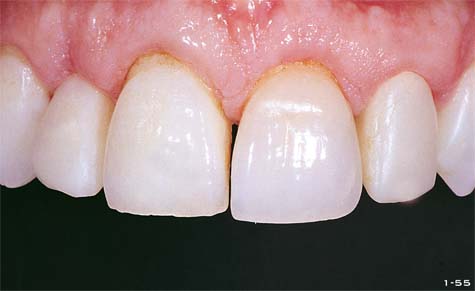
Abb. 1-55 Klinisches Foto der Oberflächencharakteristika der natürlichen Zähne. Der schwarze Hintergrund erleichtert dem Techniker die Arbeit beim Aufschichten der Keramik.

Abb. 1-56a und 1-56b Die seitlichen Schneidezähne sind gebleicht und mit Fiberglasstiftaufbauten versorgt. Die Gingiva kehrt nach der Resektion kontinuierlich in ihre Position zurück.

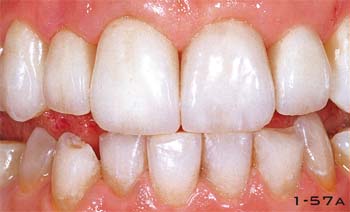
Abb. 1-57a Klinisches Bild: Frontzähne versorgt mit fluoreszierendem Keramikmaterial. Der Vergleich mit den Unterkieferzähnen zeigt eine exzellente ästhetische Integration.

Abb. 1-57b Nahaufnahme zehn Tage nach dem Einsetzen der definitiven Versorgung.


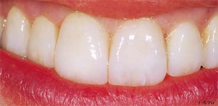
Abb. 1-57c und 1-57d Nahaufnahme des Lächelns vor und nach der Behandlung.

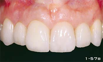
Abb. 1-57e Nahaufnahme der definitiven Versorgung.

Abb. 1-57f und 1-57g Aufnahme der Patientin vor und nach der Behandlung.
1. Feldspat-Keramikveneer
2. Feldspat-Keramikkrone
3. Presskeramikkrone15
4. Keramikkrone mit Aluminiumoxid- oder Zirkoniumdioxid-Core
5. Metallkeramik mit metallfreiem Rand
6. Metallkeramik mit dünn auslaufendem, mit Keramik abgedecktem Rand (Mikrorand)
7. Metallkeramik mit sichtbarem Metallrand
Geschichtete Veneers erzielen wegen ihrer Transluzenz und dem supra- oder juxtagingivalen Rand16 ästhetisch das beste Ergebnis, danach folgt mit geringem Abstand die transluzente Feldspat-keramik ohne Verstärkungscore und die neueste Generation der Presskeramik.
Vollkeramikkronen mit einem Core aus Aluminiumoxid oder Zirkoniumdioxid haben einen opaken Kern, der den Lichtdurchtritt und die Diffusion reduziert und damit der Restauration ein weniger natürliches Aussehen gibt, aber eine größere Resistenz gegenüber Belastung zeigt17.
Der neueste Typ der Metallverstärkung wie z. B. Captek (Leach und Dillon) oder solche durch Elektrobeschichtung (AGC, Wieland) sind etwas weniger attraktiv als Porzellan mit einem Aluminiumoxidoder Zirkoniumdioxid-Core. Die gelbe Farbe erlaubt aber eine natürlichere Farbgestaltung der Verblendkeramik als bei der traditionellen Metallkeramik. Letztere ist zwar subjektiv am wenigsten attraktiv, stellt aber unter funktionellen Aspekten, beispielsweise bei mehreren verbundenen Kronen, eine geeignete Lösung dar. Auch die Zahntechniker sind mit der Metallkeramik am meisten vertraut.
Aus ästhetischer Sicht ist ein Rand vollständig aus Keramik (ohne Metallanteil) günstiger als ein Metallrand, gleich, ob dieser mit Keramik bedeckt ist (Mikrorand) oder nicht.
Die gegenseitige Abhängigkeit der verschiedenen prothetischen Phasen (Provisorium, Weichgeweberetraktion, Abdrucknahme, Gerüsteinprobe, Rohbrandeinprobe und Zementieren) fordern vom Zahnarzt das Befolgen eines strikten klinischen Protokolls und eine optimale Zusammenarbeit mit dem Techniker.
Jeder Zahnarzt sollte strenge Regeln beachten, um die Zahl der Arbeitsschritte zu reduzieren, die Möglichkeit für Fehler einzuschränken und insgesamt die Realisierung des Behandlungsplanes zu erleichtern. Der Erfolg einer prothetischen Restauration hängt vom korrekten Zusammenfügen der Teile des prothetischen Puzzles ab. Exzellente therapeutische Ergebnisse können nur durch kontinuierliche Verbesserung der einzelnen Arbeitsschritte erzielt werden.

Abb. 1-58 und 1-59